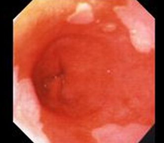
Ο οισοφάγος Barrett είναι μια παθολογική κατάσταση που αφορά το κατώτερο τμήμα του οισοφάγου. Οφείλει το όνομά του στον γιατρό Norman Barrett ο οποίος αρχικά περιέγραψε την νόσο(φωτο).
Είναι ασθένεια κυρίως των Δυτικών κοινωνιών και σχετίζεται σημαντικά με τον σύγχρονο τρόπο ζωής και διατροφής. Υπολογίζεται ότι περίπου 1 στους 100 έως 1 στου 500 ανθρώπους της καυκάσιας φυλής αναπτύσσει την νόσο, κυρίως οι άνδρες.
Αυτό που συμβαίνει στον οισοφάγο Barrett είναι ότι η εσωτερική επικάλυψη αυτού ή αλλιώς επιθήλιο, που κανονικά αποτελείται από πλακώδη κύτταρα έχει αλλάξει (μεταπλασθεί) και αποτελείται πλέον από άλλου είδους κύτταρα κυλινδρικής μορφής. Τέτοια κύτταρα βρίσκονται συνήθως στο έντερο για αυτό και η αλλαγή αυτή ονομάζεταιεντερική μεταπλασία. Η αιτία αυτής της αλλαγής είναι η μακροχρόνια έκθεση του επιθηλίου του οισοφάγου σε όξινα υγρά που προέρχονται από το στομάχι . Είναι συνεπώς ο οισοφάγος Barrett αποτέλεσμα χρόνιας γαστροοισοφαγικής παλινδρόμισης.
Γιατί όμως ο οισοφάγος Barrett παρουσιάζει ιδιαίτερο ενδιαφέρον; Ο λόγος είναι ότι συνδέεται με αυξημένο κίνδυνο ανάπτυξης καρκίνου του οισοφάγου. Ο τύπος του καρκίνου που αναπτύσσεται στους ασθενείς με Barrett ανήκει στην κατηγορία του αδενοκαρκινώματος και ξεκινά από το μεταπλαστικό κυλινδρικό επιθήλιο που αναφέραμε παραπάνω. Διαφέρει από τον άλλο τύπο καρκίνου του οισοφάγου που δεν σχετίζεται με Barrett και ο οποίος ξεκινά από τα φυσιολογικά πλακώδη κύτταρα.
Τα μεταπλαστικά κύτταρα του οισοφάγου Barrett δεν είναι καρκινικά. Έχουν όμως αυξημένο κίνδυνο να γίνουν κάποια στιγμή. Κάποιες φορές τα κύτταρα αυτά αναπτύσσουν αυτό που λέγεται δυσπλασία. Το δυσπλαστικό κύτταρο έχει περισσότερες πιθανότητες να μετατραπεί σε καρκινικό σε σχέση με τα υπόλοιπα κύτταρα. Η δυσπλασία του κυττάρου έχει διαβαθμίσεις και κυμαίνεται από χαμηλόβαθμη έως υψηλόβαθμη. Η τελευταία έχει μεγάλο κίνδυνο να μετατραπεί σε καρκίνο.
ΠΡΟΣΕΞΤΕ ΟΜΩΣ: Αν κάποιος έχει οισοφάγο Barrett, η πιθανότητα να αναπτύξει χαμηλόβαθμη δυσπλασία, ακολούθως υψηλόβαθμη δυσπλασία και μετά καρκίνο είναι ΜΙΚΡΗ. Στην πλειοψηφία των περιπτώσεων δεν έχουμε δυσπλαστικές μεταβολές. Περίπου 1 στους 20 ασθενείς με Barrett θα αναπτύξει δυσπλασία συνήθως μετά από αρκετά χρόνια. Και μόνο ένα τμήμα από αυτού θα αναπτύξει καρκίνο.
Ποια είναι τα συμπτώματα του οισοφάγου Barrett;
Δεν υπάρχουν αποκλειστικά συμπτώματα για αυτή την νόσο. Οι ασθενείς έχουν συνήθως τα συμπτώματα της γαστροοισοφαγικής παλινδρομικής νόσου όπως το κάψιμο πίσω από το στήθος, οι αναγωγές, η ναυτία κ.λ.π. Σε γενικές γραμμές τα άτομα με οισοφάγο Barrett έχουν την τάση να έχουν εντονότερα συμπτώματα γαστροοισοφαγικής παλινδρόμισης. Αυτό όμως δεν συμβαίνει πάντα και υπάρχουν ασθενείς με ελάχιστα ή και καθόλου συμπτώματα στους οποίους η διάγνωση είναι τυχαία.
Το κάψιμο πίσω από το στήθος αφορά κυρίως το κάτω μέρος αυτού αλλά κάποιες φορές μπορεί να φθάνει ψηλά ως και τον λαιμό. Η αναγωγή υγρών με πικρή γεύση είναι το άλλο συχνό σύμπτωμα.
Κάποιες φορές τα υγρά που παλινδρομούν από το στομάχι στον οισοφάγο μπορεί να εισέλθουν στους πνεύμονες μέσω της τραχείας ή να «κάψουν» τις φωνητικές χορδές. Τότε έχουμε τις λεγόμενες εξωοισοφαγικές εκδηλώσεις. Τέτοιες είναι:
- τα συχνά επεισόδια βρογχίτιδας,
- ο χρόνιος βήχας,
- το πρωτοεμφανιζόμενο άσθμα σε ενήλικες
- ο πονόλαιμος,
- το βράχνιασμα της φωνής
Πως γίνεται η διάγνωση του οισοφάγου Barrett;
Αυτή γίνεται 1) με την οισοφαγογαστροσκόπηση και 2) με τις βιοψίες που λαμβάνει ο γιατρός με αυτή.
Οισοφαγογαστροσκόπηση: Η αλλαγή στο χρώμα της εσωτερικής επικάλυψης του κατώτερου οισοφάγου στην ενδοσκόπηση από απαλό λευκωπό ρόζ όπως φαίνεται φυσιολογικά σε έντονοτερο ροζ χρώμα (του σολωμού) εγείρει σοβαρές υποψίες ότι έχει αναπτυχθεί οισοφάγος Barrett. Συνήθως το εντονότερο αυτό χρώμα εμφανίζεται με την μορφή γλωσσοειδών προσεκβολών ή νησιδίων μέσα στο φυσιολογικό λευκωπό ροζ και αντιστοιχεί στο μεταπλαστικό επιθήλιο του οισοφάγου Barett.
Bιοψία: Όταν ο γιατρός υποψιάζεται οισοφάγο Barrett κατά την διάρκεια μιας γαστροσκόπησης παίρνει βιοψιακά δείγματα που στέλνονται στο μικροσκόπιο για λεπτομερή εξέταση. Η παρουσία των χαρακτηριστικών μεταπλαστικών κυττάρων που αναφέραμε παραπάνω επιβεβαιώνει την διάγνωση. Τα κύτταρα ελέγχονται επίσης εάν έχουν παρουσιάσει δυσπλασία.
Ενδοσκοπικά το μέγεθος του οισοφάγου Barrett ποικίλλει για αυτό και διακρίνεται σε ultra short, short και long segment Barrett. Η εμπειρία του ενδοσκόπου παίζει σημαντικό ρόλο ώστε να διαγνωσθεί ακόμη και ένας μικρός οισοφάγος
Barrett ή να ληφθούν κάθε φορά οι κατάλληλες βιοψίες. Tα τελευταία χρόνια η ανάπτυξη νέων τεχνολογιών όπως π.χ. το Narrow Band Image (NBI) που χρησιμοποιείται σε νέας γενιάς ενδοσκόπια και εκμεταλλεύεται κατάλληλα το φάσμα φωτός μπορεί να προσδιορίσει με ακρίβεια τα όρια του οισοφάγου Barrett. Tην τεχνολογία αυτή χρησιμοποιούμε και στην Ενδοσκοπική Μονάδα του Metropolitan Hospital.
Μετά την διάγνωση οι ασθενείς πρέπει να παρακολουθούνται ενδοσκοπικά σε τακτικά χρονικά διαστήματα (επιτήρηση) που καθορίζει ο γιατρός τους και κάθε φορά λαμβάνονται τα κατάλληλα βιοψιακά δείγματα.
Ποιος είναι ο στόχος της θεραπείας στον οισοφάγο Barrett;
Ο στόχος της θεραπείας σε ασθενείς με οισοφάγο Barrett είναι:
- η εξάλειψη των συμπτωμάτων παλινδρόμησης και
- η αποτροπή του μετασχηματισμού του σε καρκίνο.
Πώς αντιμετωπίζεται ο οισοφάγος του Barrett;
Η θεραπεία εξαρτάται σε μεγάλο βαθμό από την παρουσία
- συμπτωμάτων γαστροοισοφαγικής παλινδρόμισης και
- δυσπλασίας στις βιοψίες.
Τι είναι δυσπλασία;
Δυσπλασία είναι η παρουσία προκαρκινικών κυττάρων στις βιοψίες. Μερικές φορές είναι δύσκολο να εντοπισθούν σωστά αυτού του είδους τα προκαρκινικά κύτταρα, ειδικά όταν υπάρχει φλεγμονή (ερεθισμός που συνήθως προκαλείται από τη συνεχή γαστροοισοφαγική παλινδρόμηση οξέος).
Τι γίνεται όταν υπάρχουν συμπτώματα παλινδρόμησης σε ασθενή με οισοφάγο Barrett αλλά όχι δυσπλασία στην βιοψία;
Εάν υπάρχουν συμπτώματα γαστροοισοφαγικής παλινδρόμισης, ο γαστρεντερολόγος θα συνταγογραφήσει φάρμακα για τη θεραπεία της. Αυτά τα φάρμακα μειώνουν το οξύ του στομάχου και έτσι προστατεύεται ο οισοφάγος από παραπέρα βλάβες. Συστήνονται επίσης αλλαγές στον τρόπο ζωής, όπως ο ύπνος με ελαφρώς υπερυψωμένο το κεφάλι και η αποφυγή του δείπνου αργά το βράδυ.
Εάν ο οισοφάγος Barrett δεν έχει δυσπλασία σημαίνει ότι δεν βρέθηκαν προκαρκινικά κύτταρα στην βιοψία. Συνήθως, δεν χρειάζεται άλλη θεραπεία πλην της φαρμακευτικής σε αυτό το στάδιο. Ωστόσο ο γιατρός θα συστήσει να παρακολουθεί την κατάσταση με μια οισοφαγογαστροσκόπηση κάθε δύο έως τρία χρόνια.
Ποια είναι η θεραπεία του οισοφάγου Barrett όταν υπάρχει δυσπλασία;
Εάν εντοπισθεί δυσπλασία, αυτή θα πρέπει να επιβεβαιωθεί από έναν δεύτερο παθολογοανατόμο (αν είναι δυνατόν έμπειρο και εξειδικευμένο στην εξέταση βιοψιών οισοφάγου).
Στη συνέχεια, αυτού του είδους οι βλάβες ταξινομούνται είτε ως «χαμηλόβαθμη δυσπλασία», «υψηλόβαθμη δυσπλασία» ή «ενδοβλεννογονικό καρκίνωμα» ανάλογα με τη σοβαρότητά τους. Στην περίπτωση αυτή προτείνεται η ενδοσκοπική θεραπεία εξάλειψης του Barrett.
Ποια είναι η ενδοσκοπική θεραπεία εξάλειψης του οισοφάγου Barrett με δυσπλασία;
Αυτή γίνεται με την βοήθεια ενός ενδοσκοπίου και περιλαμβάνει:
- ένα συνδυασμό ενδοσκοπικής εκτομής του βλεννογόνου (βλεννογόνια εκτομή, EMR) για την απομάκρυνση τυχόν ανησυχητικών περιοχών που εντοπίζονται από τους ενδοσκόπους και
- την ενδοσκοπική καταστροφή του εναπομείναντος οισοφάγου Barrett, συνήθως με χρήση ραδιοσυχνοτήτων (HALO).
Ποια είναι η θεραπεία όταν υπάρχει «χαμηλόβαθμη δυσπλασία»;
Η αντιμετώπιση των ασθενών με «χαμηλόβαθμη δυσπλασία» είναι αμφιλεγόμενη. Η δυσπλασία χαμηλού βαθμού σημαίνει ότι υπάρχουν κάποια ανώμαλα κύτταρα, αλλά η πλειονότητα αυτών δεν επηρεάζεται. Μερικοί γιατροί συστήνουν απλά συχνή ενδοσκοπική παρακολούθηση (συνήθως κάθε 6 ή 12 μήνες), ενώ άλλοι προτείνουν την εξάλειψη του ανώμαλου ιστού με ενδοσκοπική θεραπεία. Και οι δύο επιλογές είναι αποδεκτές, αλλά πρόσφατες μελέτες δείχνουν ότι η ενδοσκοπική θεραπεία εξάλειψης μπορεί να είναι προτιμότερη.
Ο γαστρεντερολόγος σας θα συνεκτιμήσει όλα τα δεδομένα διεξοδικά θα πάρει την θεραπευτική απόφαση που είναι καταλληλότερη για εσάς. Συνήθως οι αποφάσεις αυτές στηρίζονται στις κατευθυντήριες οδηγίες που εκδίδουν έγκυρα διεθνή ή εθνικά επιστημονικά όργανα (επιστημονικές ενώσεις-εταιρείες).
Ποια είναι η θεραπεία όταν υπάρχει «υψηλόβαθμή δυσπλασία»;
Η «υψηλόβαθμή δυσπλασία» υποδηλώνει σημαντική αλλαγή στον βλεννογόνο του οισοφάγου. Με αυτήν τη διάγνωση, ο καρκίνος είναι πιο πιθανός. Ίσως χρειαστεί να επαναληφθεί η ενδοσκόπηση προκειμένου να αναζητηθεί εκ νέου πιθανή παρουσία καρκίνου. Ο γαστρεντερολόγος εδώ θα συστήσει θεραπεία, η οποία επικεντρώνεται στην αφαίρεση του παθολογικού ιστού και μπορεί να περιλαμβάνει:
- Χρήση ραδιοσυχνοτήτων: Ο παθολογικός ιστός καταστρέφεται (καίγεται) χρησιμοποιώντας ραδιοκύματα, τα οποία δημιουργούν θερμότητα.
- Ενδοσκοπική εκτομή του βλεννογόνου(βλεννογόνια εκτομή, EMR): Χρησιμοποιώντας ένα ενδοσκόπιο, ο εξειδικευμένος γαστρεντερολόγος μπορεί να αφαιρέσει την ύποπτη περιοχή του βλεννογόνου.
- Χειρουργική επέμβαση: Εάν έχετε υψηλόβαθμη δυσπλασία ή καρκίνο του οισοφάγου, ο γιατρός μπορεί να συστήσει οισοφαγεκτομή, δηλαδή μια χειρουργική επέμβαση όπου αφαιρείται όλος ή μέρος του οισοφάγου.

